Kardio-CT statt Diagnostik per Katheter? Moderne Schnittbildgebung läuft der Angiographie allmählich den Rang ab

Dr. Anja Braunwarth

© Privatdozent Dr. Andreas Rolf, Kardiologie am Herzzentrum, Kerckhoff-Klinik, Bad Nauheim

Geringe Strahlenbelastung, kein eingeführter Fremdkörper, kurze Untersuchungszeit: Das CT der Koronarien klingt vor allem für Patienten nach einer verlockenden Alternative zum Katheter. Doch welchen Stellenwert hat es wirklich?

Eine größere Studie mit 230 Patienten aus 16 Zentren ergab für das Kardio-CT eine Sensitivität von 95 % und eine Spezifität von 83 %. Allerdings litten auch nur 14 % der Teilnehmer an einer KHK, es handelte sich also um ein eher gesundes Kollektiv, betonte Privatdozent Dr. Andreas Rolf von der Kardiologie am Herzzentrum der Kerckhoff-Klinik in Bad Nauheim.

Hohe Sensitivität bei noch durchschnittlicher Spezifität

An einem etwas größeren Kollektiv mit einer KHK-Prävalenz von 68 % fand sich dann eine Sensitivität von 99 % und eine Spezifität von 64 %. „Wir übersehen die Krankheit mit dem CT also nicht, aber am anderen Ende der Erkrankung, bei schwer veränderten Gefäßen mit viel Kalk, liegen wir auch schon mal daneben“, fasste der Kollege die Ergebnisse zusammen.

Bei älteren Tomographen erschwerten zudem Artefakte durch Kalkablagerungen die genaue Beurteilung der Gefäße, neuere Modelle liefern zwar bessere Einsichten, doch ganz beheben ließ sich das Problem bislang noch nicht. Die aktuelle Strahlenbelastung sank inzwischen auf 1,5 mSv, das entspricht etwa zehn Röntgen-Thorax-Aufnahmen.

Die klassische Angio macht wohl keine zehn Jahre mehr

„Tendenziell überschätzen wir in der CT-Untersuchung Stenosen derzeit eher“, erklärte Dr. Rolf. Dennoch ist festzuhalten, dass das moderne Kardio-CT heute schon fast die diagnostische Angiographie ersetzen kann. Und Experten gehen davon aus, dass in zehn Jahren die Schichtbildgebung in diesem Bereich den Katheter abgelöst haben wird.

Falls Sie diesen Medizin Cartoon gerne für Ihr nicht-kommerzielles Projekt oder Ihre Arzt-Homepage nutzen möchten, ist dies möglich: Bitte nennen Sie hierzu jeweils als Copyright den Namen des jeweiligen Cartoonisten, sowie die „MedTriX GmbH“ als Quelle und verlinken Sie zu unserer Seite https://www.medical-tribune.de oder direkt zum Cartoon auf dieser Seite. Bei weiteren Fragen, melden Sie sich gerne bei uns (Kontakt).


© Privatdozent Dr. Andreas Rolf, Kardiologie am Herzzentrum, Kerckhoff-Klinik, Bad Nauheim
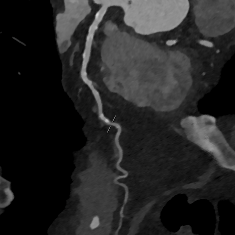
Hier entlarvt die multiplanare Rekonstruktion eine hochgradige Stenose des RIVA Hier entlarvt die multiplanare Rekonstruktion eine hochgradige Stenose des RIVA © Privatdozent Dr. Andreas Rolf, Kardiologie am Herzzentrum, Kerckhoff-Klinik, Bad Nauheim
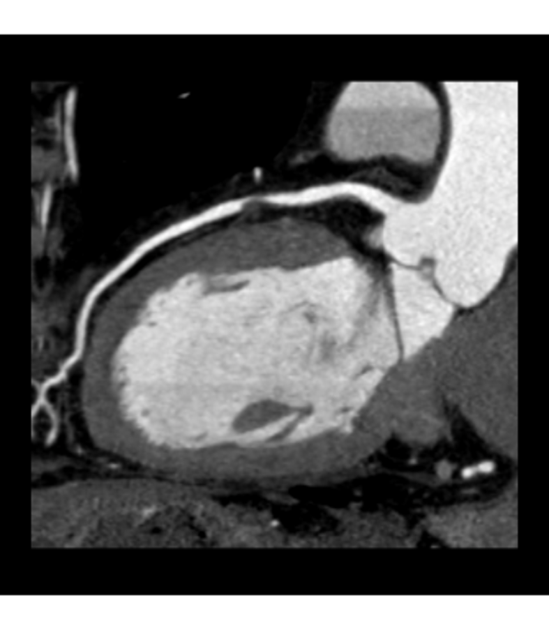
Die schwere Verkalkung des Ramus interventricularis anterior (RIVA, farbliche Markierung rechtes Bild) heißt nicht, dass auch eine relevante Stenose vorliegt. Die schwere Verkalkung des Ramus interventricularis anterior (RIVA, farbliche Markierung rechtes Bild) heißt nicht, dass auch eine relevante Stenose vorliegt. © Privatdozent Dr. Andreas Rolf, Kardiologie am Herzzentrum, Kerckhoff-Klinik, Bad Nauheim
Trotz des Kalks lässt sich diese (Stenose) mit dem modernen CT-Scanner sicher ausschließen, was vor allem die multiplanare Rekonstruktion desselben Gefäßes verdeutlicht. Trotz des Kalks lässt sich diese (Stenose) mit dem modernen CT-Scanner sicher ausschließen, was vor allem die multiplanare Rekonstruktion desselben Gefäßes verdeutlicht. © Privatdozent Dr. Andreas Rolf, Kardiologie am Herzzentrum, Kerckhoff-Klinik, Bad Nauheim