
Mantelzell-Lymphom Ältere mit Hochrisikomerkmalen könnten von Venetoclax-Erhaltung profitieren

Das RBAC*-Regime ist eine geläufige Erstlinienoption für ältere, aber fitte Erkrankte mit Mantelzelllymphom. Prof. Dr. Carlo Visco, Università di Verona, und Kolleg:innen verfolgen die Hypothese, dass eine zusätzliche Konsolidierung und zeitlich begrenzte Erhaltung mit Venetoclax die Progressionsfreiheit verlängern, falls Risikomerkmale vorliegen.
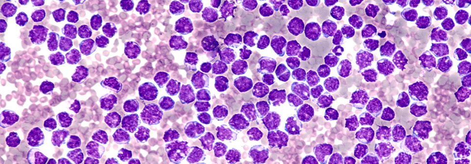
Die Wissenschaftler:innen schlossen in ihre einarmige Phase-2-Studie 140 behandlungsnaive Patient:innen mit Mantelzelllymphom ein, die median 72 Jahre zählten. 39 % der Teilnehmenden wiesen gemäß der Studiendefinition ein hohes Risiko auf (TP53-Mutation, 17p-Deletion, Ki67 ≥ 30 % und/oder blastoide Morphologie). Diese Subgruppe bekam…
Bitte geben Sie Ihren Benutzernamen und Ihr Passwort ein, um sich an der Website anzumelden.